19117996191
产品展示
分类导航
教学用护理模型类
教学用病原微生物
教学用病理切片
教学用寄生虫
教学用药用植物学
教学用病理浸制大体标本
教学用正常组织学
教学用解剖模型类
教学用免疫学
教学用生物遗传学
教学用血液检验学
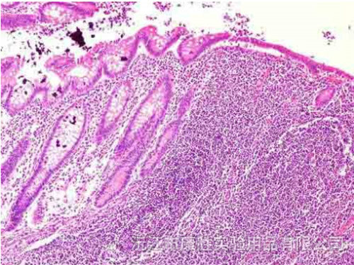
急性蜂窝织性阑尾炎
周鞭毛
四联球菌
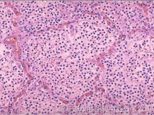
大叶性肺炎
风湿性心肌炎切片
小叶性肺炎切片
点击加载更多
共 15 页 页次: 5/15 页
首页
上一页
1
2
3
4
5
6
7
8
9
10
...
下一页
尾页
首页
电话
咨询
地图
详细地址: 湖南省益阳市沅江市高新技术产业园区服装类标准化厂房25栋4层(西)